CAVITY TREATMENT
虫歯治療
虫歯が進行すると・・・
About
虫歯が進行して、歯の内部まで達してしまうと神経を取らないといけなくなります。
歯の神経が無くなってしまうと、歯質がもろくなってしまい、欠けやすく、お口のトラブルに繋がります。そうならないために早めの対処が必要です。
マイクロスコープ
Microscope
マイクロスコープを使用すると人間の視力の約30倍の大きさで見ることができます。
インプラント治療や根管の内部から歯周組織、歯の切削面など様々なお口の中の状態が手に取るように確認することが出来ます。
これにより精度の高い診断や治療を提供する事が可能となりました。
マイクロスコープを使用した実際の治療
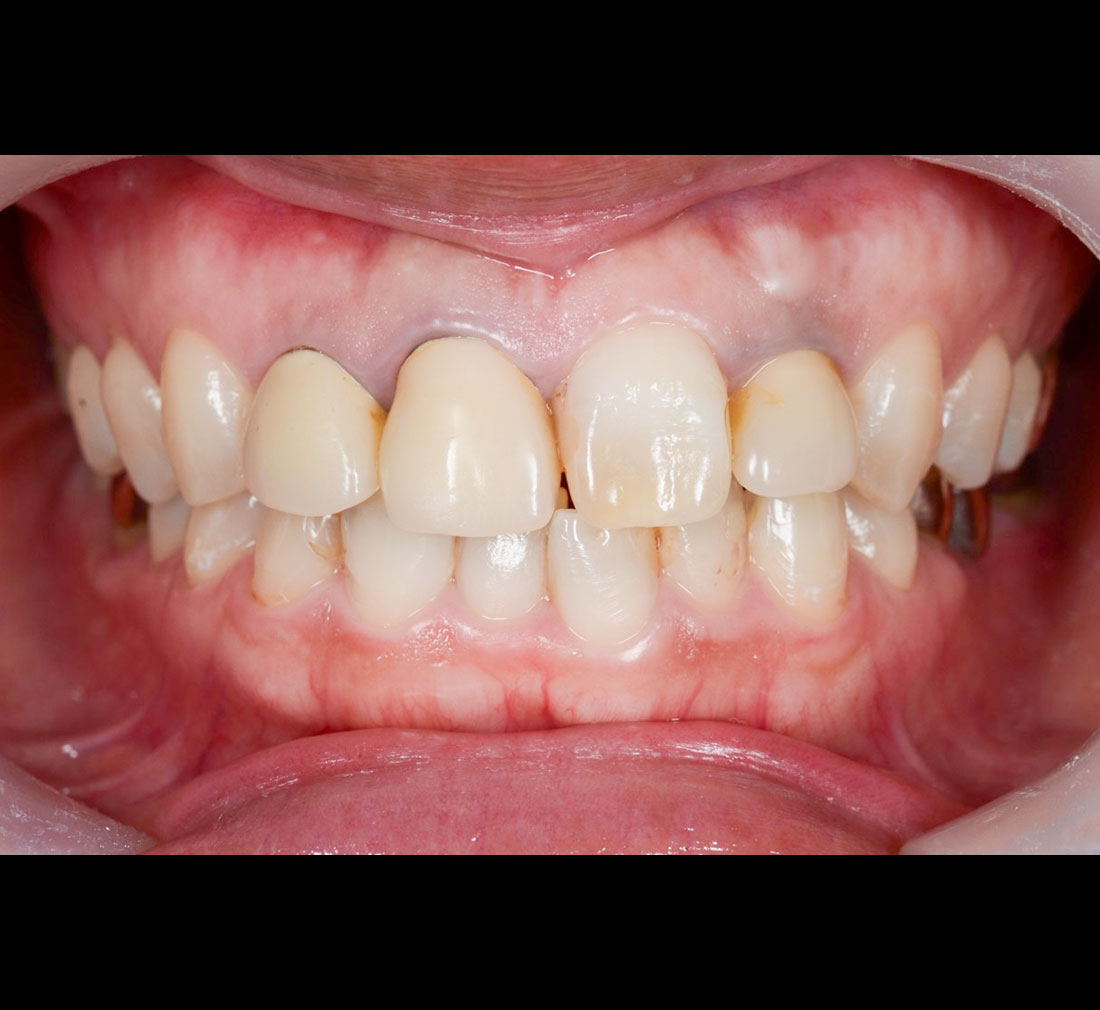
こちらの患者さんは2,3日前から奥歯で咬むと痛いということで来院されました。
かぶせ物を数年前に作ってもらったが、当時から違和感はあったが我慢していたとのことです。
レントゲン写真を撮影して見てみると「治療器具が破折した先っぽ」がそのままになっていたり、「根の先に病巣」ができていました。
マイクロスコープで精査して、異物の除去と病巣の治療を施しました。
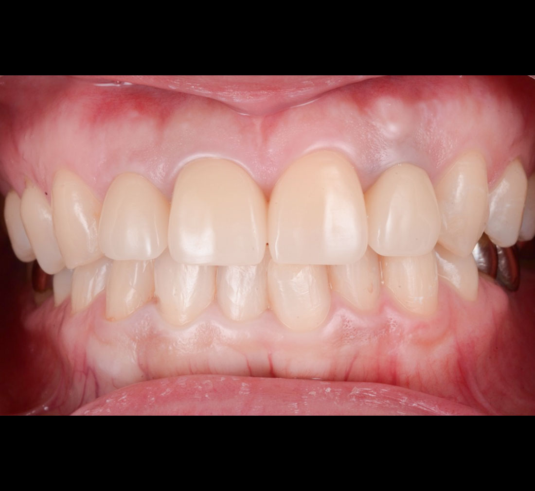
セレック
Cerec
セレックシステムは、医療先進国ドイツからやってきた、コンピュータ制御によって歯の修復物を設計・製作するCAD/CAMシステムです。コンピュータを使って修復物を作製するので、歯型を取ることがありません。
また規格生産された高品質なセラミックブロックを使用するため耐久性が高く、治療時間も約1時間と非常にスピーディーです。
セラミック素材は、金属の詰め物被せものに比べ、歯との接着力、耐久性が非常に優れているので2次カリエスになりにくく、「虫歯の再発」⇒「歯を削り詰めもの」の悪循環を防ぐことで結果的に自分の歯を守ることができます。
※2次カリエスとは、一度虫歯治療をした箇所が補綴物の隙間などから菌が入り込み、再び虫歯になってしまうことです。
セレック症例
Treatment cases





