ORTHODONTIC
ワイヤー矯正
ホーム – ワイヤー矯正
矯正歯科治療について
About
歯並びや咬み合わせが悪いと次のような障害を引き起こす可能性があります。
- むし歯になりやすい
- 歯周病の進行が早い
- 発音へ影響を与える
- 物を噛む機能に影響を与える
- 外傷にかかりやすくなる
- 顎の成長に影響を与える
- 理想的な状態で被せ物やブリッジなどの治療が出来ない
- 顎関節の障害を引き起こす恐れがある
- 筋肉の運動に影響を与える
- 心理的な影響を与える
以上のような障害に対して審美性の改善、機能の回復、環境の改善を目的に矯正を行いますが、治療の範囲も1本の歯から全体に至るまで様々です。
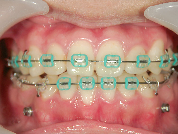
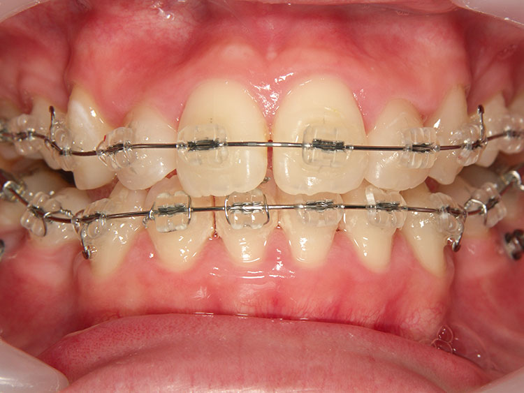
当院で使用しているセラミックブラケットの特徴
- ブラケットを透過した光が歯面に到達すると、ブラケットに歯の色を反射させるので目立ちにくい。
- 真っ白ではなく、黄色っぽくもなく、半透明だから歯の色に馴染む。
- 表面がツルツルしているため、汚れや色がつきにくく長期間鮮やかな透明感を保つ。
CephaloMetrics AtoZ 矯正分析シミュレーションツール
当院では、より精密で効果的な矯正治療を行うため、「CephaloMetrics AtoZ」を導入しております。
このツールにより、診査診断がスムーズかつ正確になり、患者さんが満足する治療結果へ導くことが可能になりました。
矯正後のイメージ写真も見ることができます!
患者さんのお顔やレントゲン写真をコンピューターに取り込んで、リアルタイムで治療のご説明をすることができます。
治療後の歯のイメージ写真を見ることができたり、矯正装置を着けた時のイメージ写真をお見せすることも可能です。
また、お口の中だけでなく顔つきの変化をシュミレーションできるので、治療結果のイメージを掴むことができます。
気になる点がございましたら、ぜひ当院へお問い合わせください。
矯正治療症例
Treatment cases
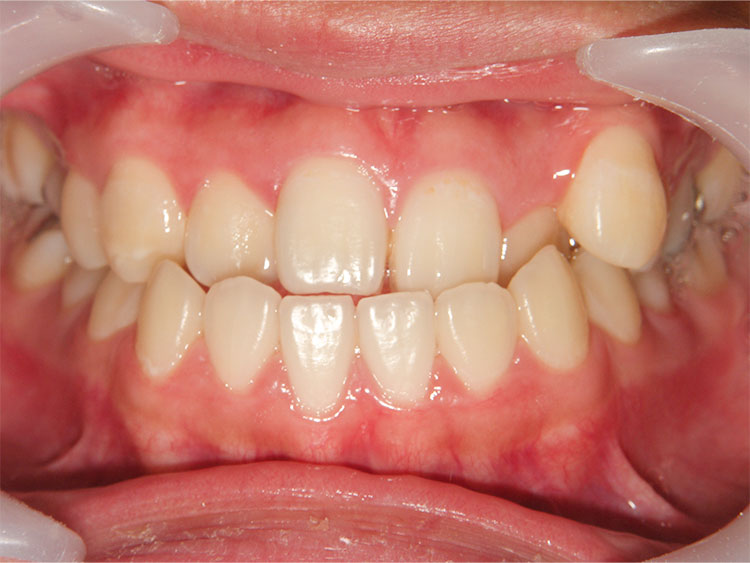
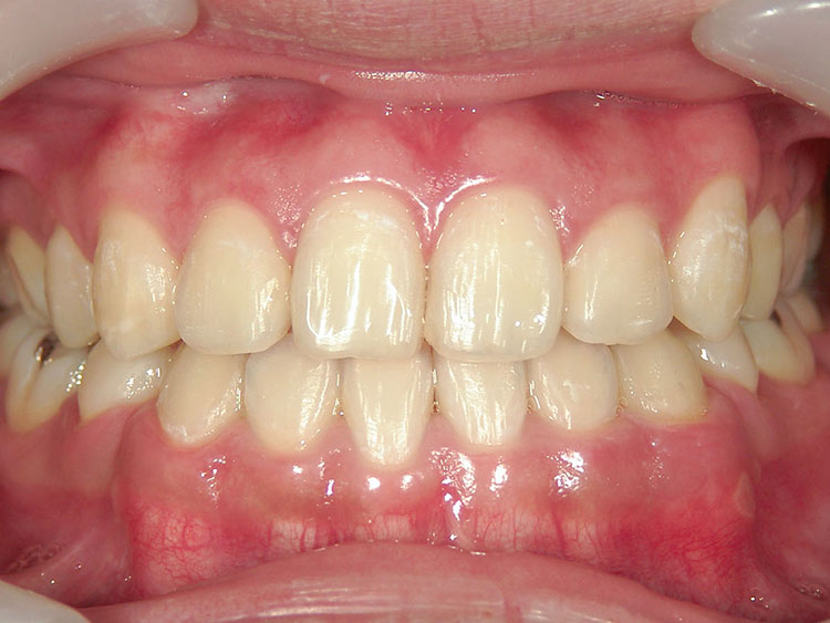
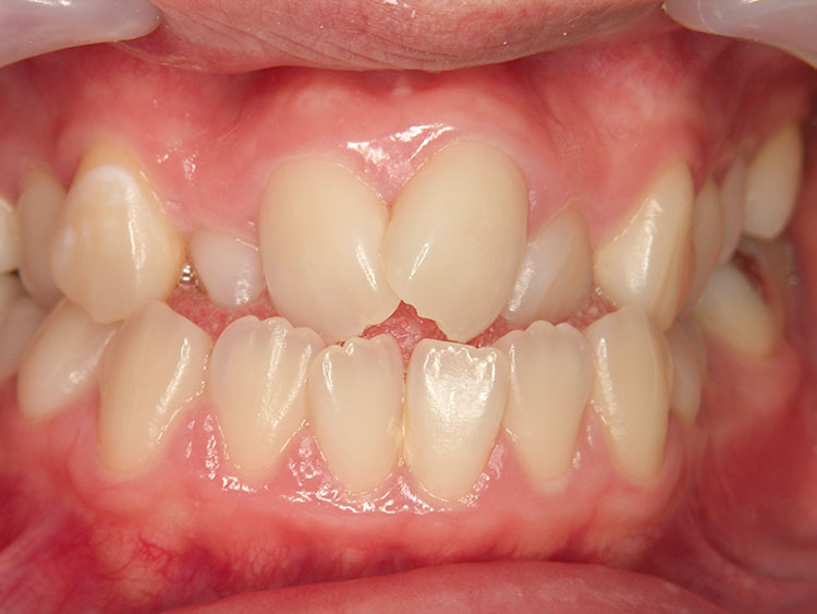
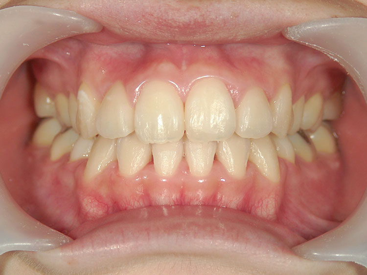
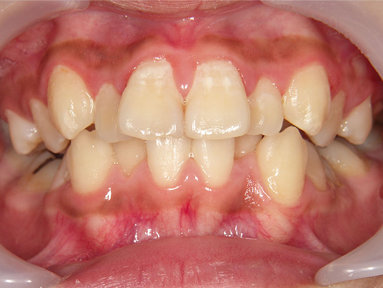
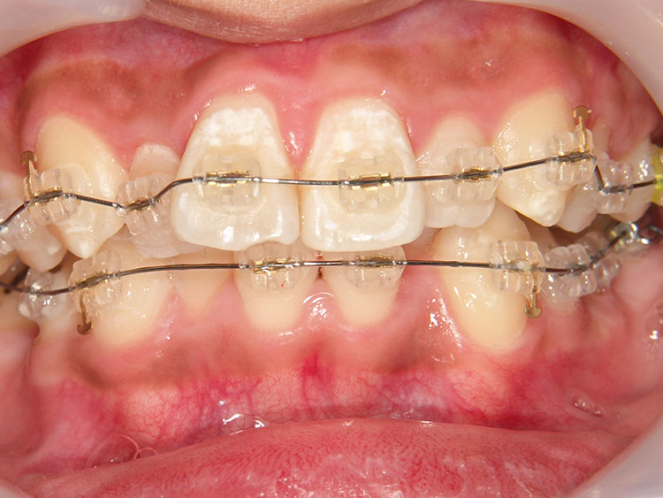
八重歯・乱ぐい歯(叢生:叢生)
叢生とは、でこぼこに生えた乱ぐい歯、犬歯が飛び出した八重歯などのことを言います。
歯と小さくなったあごの大きさとの不調和が原因とされており、歯ブラシの毛先が届きにくいために、長い間に虫歯や歯周病(歯槽膿漏)にかかりやすくなります。








